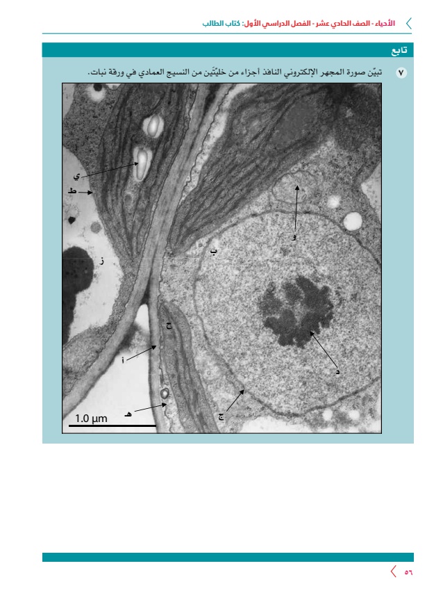
Page 58 - Demo
P. 58


                                    
                                
   52   53   54   55   56   57   58   59   60   61   62